Když jsem jako kluk zahlédl zubní lékařku ve školní budově, kde prováděla prohlídky zubů u dětí školou povinných, pokaždé mi na čele vyskočil studený pot a má nálada byla rázem pod bodem mrazu. Zubní lékařky jsem se skutečně bál a nejraději bych jí potkával jen venku na ulici v civilním oblečení, kde mi nemůže nikterak ublížit. Jednou jsem ji dokonce zahlédl v hledišti při natáčení divácky oblíbeného pořadu „Rozpaky kuchaře Svatopluka“, i když to nemám potvrzeno jako stoprocentní informaci, ovšem pokud to skutečně byla ona, v takovém prostředí pro mě nepředstavovala žádnou hrozbu.

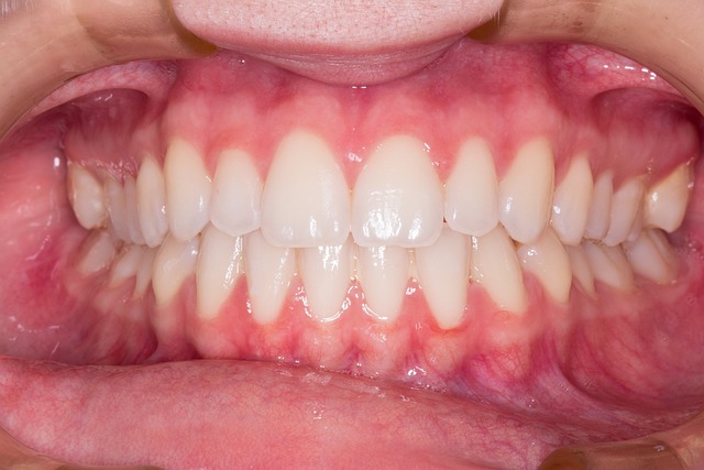
Dětství však uteklo jako voda a v dospělosti má zubní lékařka nebyla zdrojem strachu ze zubařských zákroků, konečně jsem si totiž uvědomil, že tím největším zdrojem strachu je zanedbávání dentální hygieny a také neznalost správných preventivních postupů při čištění zubů. Nikdo mi bohužel nevysvětlil, jak důležitou funkci má mezizubní kartáček, na což jsem pak doplatil vážnějšími zdravotními problémy. Mezizubní kartáčky jsou docela drobné pomůcky, které byste možná někde na stole úplně přehlédli. Přitom plní nesmírně důležitou funkci čištění mezizubních prostor, neboť tam se běžný zubní kartáček nedostane.

V mezizubních prostorách se také udržuje zubní plak a když se tam ponechá delší čas, může být zdrojem tvorby zubního kamene, který směřuje k zánětu dásní a vzniku paradentózy a k případné předčasné ztrátě zubů v raném věku. Mnoho let jsem tuto informaci neznal a kdyby mi ji někdo trpělivě vysvětlil na pracovišti stomatologie v Praze 1 nebo na pracovišti dentální hygieny již zavčasu, mohl jsem se zbavit zdravotních problémů už dávno a nemusel bych se zubního lékaře zbytečně bát. Zdravé zuby by byly mou chloubou a mohl bych být hrdý na to, že se o ne správně starám a že nejsem žádný lempl, neboť být lemplem zrovna není mým typickým životním znakem.